从120急救到转入ICU,从病危通知书到普通病房,再见面时,罗叔的妻子眼含热泪,拉着刘学永主任的手,不停地感谢。

7月23日7:25,当满身是血的罗叔从救护车推下,现场的急救人员都倒吸一口凉气:罗叔右侧耳朵与头部连接处撕裂,右下巴处约16cm三角形撕裂伤深可见骨,面部神经裸露在外面,胸口与右肘的大面积挫伤,还在不停溢出的鲜血,都在诉说着车祸撞击碾压后的惨烈。
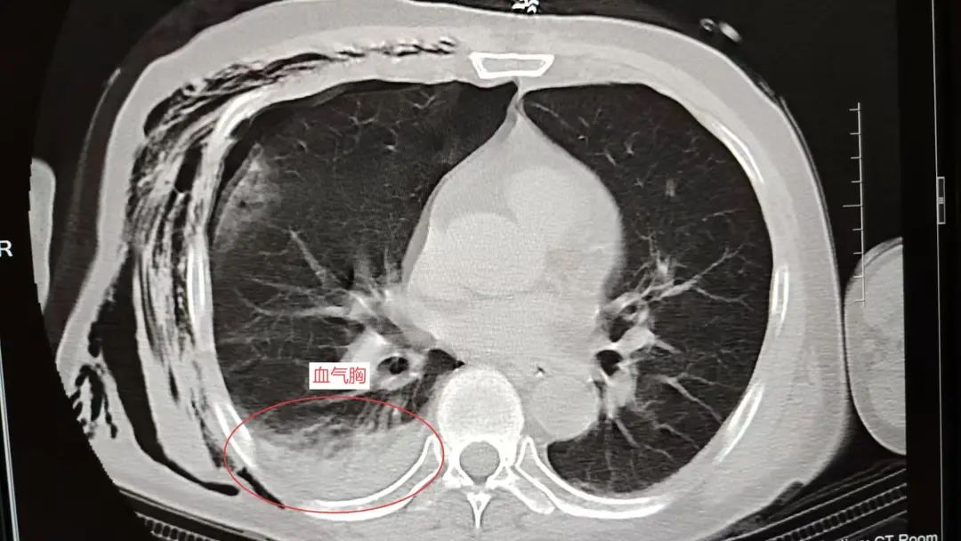
遭受严重创伤后,罗叔紧接着陷入昏迷。头皮血肿、血气胸、右胸腹部广泛的皮下气肿、血压持续降低等复杂危急症状接踵而至。这是一场与死神赛跑的硬仗,而留给和佳医院急救中心的时间以秒计数。

头部血肿

血气肿

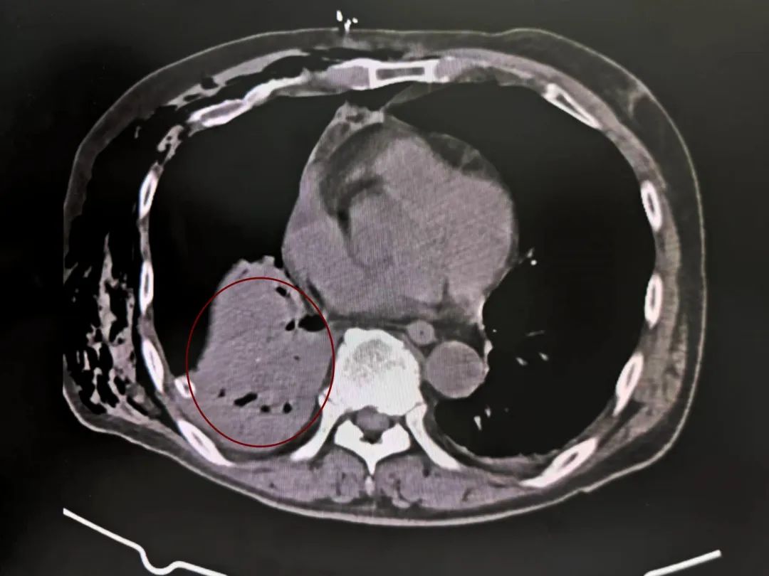
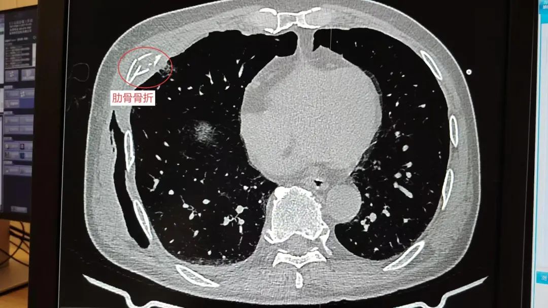
多处骨折

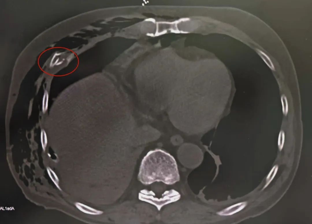
皮下气肿
系统检查提示:罗叔目前存在车祸后多发伤,头部、胸部、腹部等存在多处外伤,颅脑的挫裂伤,右侧颌面部撕裂伤,右肘关节皮肤裂伤等全身多处皮肤擦伤。外表的伤口已经足够狰狞,而在罗叔的身体内部存在更严重的情况:闭合性颅脑损伤、呼吸衰竭、右侧6根肋骨骨折伴血气胸和皮下气肿、代谢性酸中毒、呼吸性碱中毒,还有肝、肺挫伤等脏器损伤。
这意味着,即便经过初步治疗,罗叔的病情随时都会有加重、恶化的可能。
7月23日8:00,和佳医院立即组织急诊科、神经外科、骨科、重症医学科、麻醉科、影像科、护理部等多学科专家团,经综合评估后,立即展开急诊面部裂伤美容清创缝合+全身多处皮肤裂伤缝合治疗。优先保护面部裸露神经,为全身多个出血点位缝合止血。
当天10:12,在发现罗叔右侧液气胸加重,并出现呼吸困难,血氧下降情况时,团队迅速响应,进行右侧胸腔闭式引流+右侧皮下气肿引流。
罗叔的病情时刻变化

入院时

两小时后的血气胸
13:00,罗叔突发急性心衰,各类检测仪器滴滴作响:呼吸心率突然增快,脉氧下降,血压升高瞬间升高至220/110mmHg,ICU团队立即采取急救措施响应,经过10分钟的不懈努力,心率呼吸、血压血氧等数值逐渐恢复正常,将罗叔从死亡边缘抢救过来!
7月26日深夜12点,昼夜交替正是容易松懈的时候,罗叔的病情再次恶化,ICU团队力挽狂澜,再一次成功救回罗叔。
这一次罗叔的状态始终保持稳定,然而命运最擅长在人最容易松懈的时候,给出致命一击。
7月28日15:50,罗叔剧烈咳痰后,再次出现呼吸急促,心率增快,脉氧下降,血压升高至227/112mmHg等一系列危急症状,经过27分钟的抢救终于稳住他的状态,全身大汗的罗叔宛若经历重生。
“叔,你今天的痰就没前两天那么黄了,你看,还是少抽烟好”。
与大众印象中冰冷的ICU并不一样,罗叔耳边时不时响起护士长温柔轻声的询问与嘱托。喝水吐痰、翻身拍背……护士长们对罗叔无微不至地照顾,让他备受感动。
听到护士的柔声劝诫,罗叔笑着嘟囔:你好像我闺女一样,那么爱唠叨。
经历了8天的艰苦鏖战,罗叔从ICU转入普通病房的第一时间,刘学永主任亲自查房,跟罗叔的家属说明了病情状况及后期可能出现的情况,护士长讲解了罗叔的护理要点和注意事项。


回想起前些天死里逃生的经历,这位在ICU里数天,都没流一滴眼泪的徐州硬汉,对着刘主任流出两行热泪:和佳的医生护士都特别专业,她们把我照顾得很好,这次我能活下来全靠你们,真的谢谢你们!
于病情危重之际力挽狂澜
于精湛医技之上无微不至
此次严重创伤患者的成功救治,是和佳医院日常工作的一个缩影,也是多学科在危重症诊疗水平、团队协作能力及综合救治能力上的一次集中体现。未来,和佳医院将持续强化创伤中心体系建设,以更紧密的团队协作、更精湛的医疗技术,为患者生命健康保驾护航。

医院地址: [徐州市云龙区民富路39号]
健康热线: [8569 9999]







